美例秀秀|转移灶与原发灶生物学特征不一致该如何治疗?

2018 年 11 月 16 日 肿瘤资讯
病例分享:李丕嵩 大连大学附属中山医院乳甲一科
指导老师:曹铭谦 大连大学附属中山医院乳腺甲状腺外科
审核与点评:陈文艳 南昌大学一附院肿瘤科

乳腺癌复发转移后,最好进行再次活检,明确转移灶的生物学特征,以指导我们后续的治疗选择。以下将介绍1例早期乳腺癌患者,术后标本检测HER2(+),复发后出现锁骨上和纵隔多发淋巴结肿大,并合并上腔静脉综合征。复发后淋巴结活检发现HER2阳性,并从抗HER治疗中获得显著获益。

               
曹铭谦
教授,硕士研究生导师

大连大学附属中山医院乳腺甲状腺外科主任
2017年全国五一劳动奖章
大连市政府特殊津贴获得者

               
李丕嵩
主治医师,医学硕士

大连大学附属中山医院乳甲一科 
中国医科大学肿瘤学硕士
目前主要从事乳腺癌及甲状腺癌的诊断及治疗

病史简介

女性患者,53岁,未绝经。左乳癌术后5年,发现左锁骨上肿大淋巴结7天入院。高血压病史5年。家族史无特殊。

治疗经过

手术治疗


2011年12月19日于我院行左侧乳腺癌改良根治术,术后病理示:左乳浸润性导管癌(II级),肿物大小1.5×1.5cm。脉管内未见癌栓,乳头、皮肤、筋膜未见肿瘤组织。左腋下淋巴结(0/11)枚未见转移癌,免疫组化:ER++,PR++,HER2(+),Ki-67 15%,未行FISH检测HER2。分期为:IA期。

辅助治疗

FAC*6方案化疗+托瑞米芬5年内分泌治疗。

术后复发

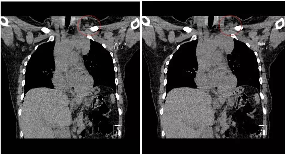
2017年1月12日门诊复查。左锁骨上窝可触及一大小约2.0×2.0cm肿大淋巴结,质略硬,活动度差。左颈部浅静脉怒张、左胸壁浅静脉曲张。右乳未触及肿物,双侧腋窝未触及肿大淋巴结。门诊彩超示:左侧锁骨上窝探及多个低回声结节,大的2.0*0.9cm,边界清楚,形态规整,皮髓分辨不清,诊断为左侧锁骨上窝多发肿大淋巴结。入院进一步复查,肺、脑、骨、肝未见远处转移征象。循环肿瘤细胞数0个/7.5mL外周血。2017年1月12日行胸部CT平扫示:前上纵隔左侧见一软组织密度影,部分边界欠清,最大截面约7.2cm×2.9cm。

2017-1-18局麻下行左锁骨上肿大淋巴结活检术,病理示:转移癌(乳腺癌来源);IHC检测:ER 80%、PR 5%、HER2(+++),Fish检测阳性、Ki-67 20%。再次复查2011年手术标本病理,IHC检测:ER 90%、PR90%、HER2(+)、Ki-67 10%。

复发后诊断

1.左侧乳腺癌改良根治术后;2.左锁骨上淋巴结转移癌;3.前上纵隔病灶,考虑转移癌;4.上腔静脉综合征(SVCS)。

图1. 胸部CT平扫

一线治疗

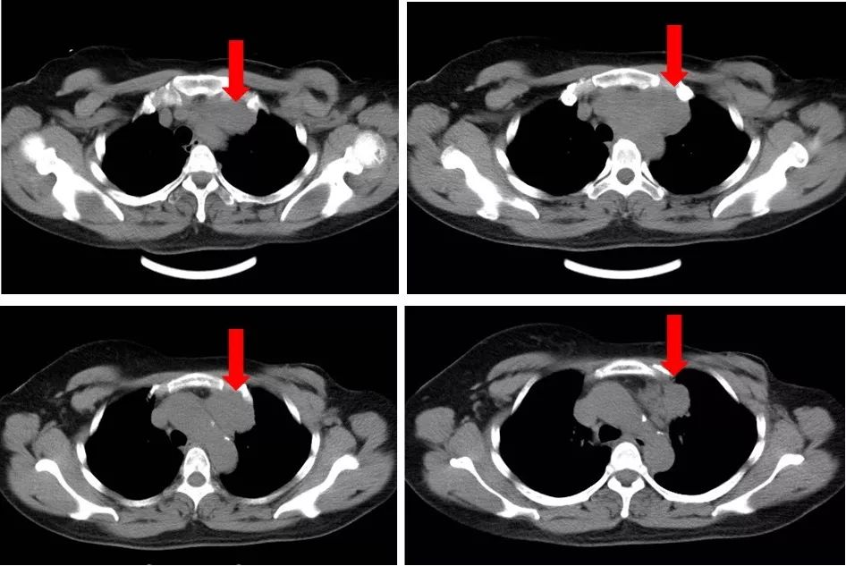
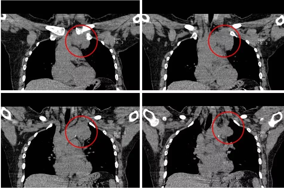
接受TC(卡铂)+曲妥珠单抗单周方案治疗。治疗2个周期后复查:淋巴结彩超示:左锁骨上淋巴结缩小,大的0.6×0.4cm;复查胸部CT示:左侧纵隔肿物缩小,最大截面约6.0×2.9cm。治疗4个周期后再次复查,淋巴结彩超示:左锁骨上淋巴结缩小,大的0.6×0.4cm;复查胸部CT示:左侧纵隔肿物缩小,最大截面约3.1×2.4cm。治疗6个周期后再次复查,淋巴结彩超示:左锁骨上淋巴结缩小,大的0.3×0.3cm;复查胸部CT示:纵膈肿物缩小明显,病灶局部包绕头臂静脉,与胸壁边界不清。评价治疗有效,继续行TC(卡铂)方案化疗+靶向治疗。治疗8周期后再次胸部CT示:纵隔肿瘤缩小明显,最大截面由最初的7.2×2.9cm缩小为2.7×2.9cm,评价为PR。8周期治疗后,患者出现腹泻,大便次数8-10次/天,水样便,影响日常生活,根据NCI分级属3级重度腹泻。10天左右缓解;II度骨髓抑制。患者拒绝继续化疗,曲妥珠单抗改为21天/周期。

图2. 治疗2周期后复查胸部CT平扫

图3. 治疗4周期后复查胸部CT平扫

图4. 治疗6周期后复查胸部CT平扫

图5. 治疗8周期后复查胸部CT平扫

图6. 治疗过程中胸部CT病灶变化 

总结

这例患者在出现复发转移后,对转移病灶进行了再次活检,并同时发现患者为HER2(+++),这为后续的治疗方案制定提供了非常好的证据。对于HER2阳性患者,抗HER2治疗非常重要,患者出现复发转移后,同时合并上腔静脉综合征,属于危及生命的重症,但抗HER2治疗给患者带来了新希望,观察到上腔静脉综合征的显著缓解,并且仍在持续获益中。

专家点评

               
陈文艳

南昌大学一附院肿瘤科
中国医药教育协会乳腺疾病规范化诊治
江西培训基地 侯任主委
江西抗癌协会乳腺癌专委会青委会主委
中国医药教育协会乳腺疾病专委会
乳腺癌多学科诊疗学组 副主委
中国临床肿瘤学会乳腺癌专委会委员
中国抗癌协会乳腺癌专业委员会青委
中国研究型医院学会乳腺专委会青委会常委

点评:

同意李丕嵩医生的观点,这份病例诊治过程中的亮点在于对转移病灶的再次活检。我们知道2011年发表了一篇涵盖26个研究共2520例乳腺癌患者的荟萃分析指出原发灶和转移灶的HER2不一致率为5.5%(3.6%-8.5%),HER2阴性转阳性比反向改变更多( P=0.074)。HER2阳性MBC的一线治疗,CSCO乳腺癌诊疗指南2018版中给出了治疗方案的推荐。本例患者一线治疗非常成功,BCIRG 007研究告诉我们TCH与TH的PFS相似,US Oncology中PCH相比PH显著提高ORR和PFS。考虑到患者无论是原发灶还是转移灶,ER、PR都是阳性表达,8周期靶向联合化疗达到PR之后,可以推荐靶向联合内分泌的维持治疗。


想与全国乳腺癌医生同道一起交流,沟通,分享吗?请您发工作牌或者医师证等可以证明医生身份的照片给小明,验明医生身份后邀请入群。更有获得国内线下会议参会机会哦!

登录查看更多
0

相关内容

专知会员服务
29+阅读 · 2020年3月6日
【学科交叉】抗生素发现的深度学习方法
专知会员服务
25+阅读 · 2020年2月23日
【Blood】去甲基化治疗失败后,MDS应如何治疗?
中国的外泌体研究牛人都在如何提取外泌体?
外泌体之家
44+阅读 · 2018年7月2日
Arxiv
23+阅读 · 2018年8月3日
Arxiv
3+阅读 · 2017年7月6日
VIP会员
Top
微信扫码咨询专知VIP会员