Nature:陈志坚团队首揭重要固有免疫通路在细胞自噬中的功能!

2019 年 3 月 7 日 转化医学网


点击上方“转化医学网”订阅我们!

干货 | 靠谱 | 实用 


作者:Ruthy


导  读


细胞自噬是一种保守的细胞自我降解方式,是将受损细胞器及大分子物质通过溶酶体降解再利用的过程。同时,细胞自噬与机体固有免疫关系匪浅,二者相关蛋白多有交集,且两类信号通路互相影响,皆发挥着重要作用。cGAS-STING是近年来广受研究界关注的一条新固有免疫通路,但其在细胞自噬中的作用却扑朔迷离未有定论。3月7日,德克萨斯大学的华人科学家陈志坚带领的团队首次系统性揭示了cGAS-STING通路在细胞自噬中的功能,并指出该功能不依赖TBK1-IRF3以及经典的自噬信号分子,相关成果发表于著名学术期刊《Nature》上。



cGAS-STING通路——不可或缺的固有免疫通路


固有免疫是机体在种系发育和进化过程中形成的天然免疫防御功能,是机体对多种抗原物质的生理性排斥反应。我们知道,干扰素刺激基因(STING)是DNA感受通路中的一个关键蛋白,对于固有免疫的启动具有重要作用。从STING首次被报道,到环鸟甘酸-腺苷酸(cGAMP)作为第二信使直接活化STING及其上游关键合成酶cGAS的机制揭示,直至发现上游活化因子是DNA,整个cGAS-STING信号通路终于完整呈现。


当外界抗原入体时,胞质DNA与cGAS结合后将传递至第二信使cGAMP,二聚化的STING马上与cGAMP结合,构象发生变化,由自噬小体出发途经内质网、高尔基体,期间被泛素化后募集TBK1蛋白,磷酸化并激活干扰素调节因子 (IRFs) 和 NF-κB,而后者可诱导 I 型干扰素和其他免疫应答基因表达。整个过程可以检测胞质DNA的存在,并在反应中触发炎症基因的表达,对固有免疫反应的彻底激活不可或缺。按照常规思路,cGAS-STING信号通路与细胞自噬的关系应该值得说道,那么,它们有关系吗?

 

细胞自噬——cGAS-STING通路隐藏的独立功能


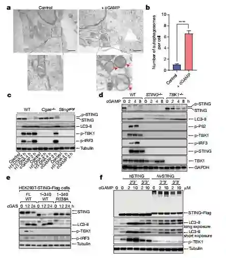
首先我们要知道,自噬标志物LC3被酯化生成LC3-II是细胞发生自噬的标志。研究人员发现,ISD(干扰素刺激DNA)、HT-DNA、cGAMP、HSV处理后的人皮肤成纤维细胞LC3都被酯化生成了LC3-II,同时GFP-LC3呈点状聚集,细胞发生自噬。这就说明胞质DNA可以引发细胞自噬。既然胞质DNA可以刺激细胞自噬的发生,那自然与cGAS-STING通路脱不了关系了。

 

cGAMP诱导的细胞自噬是独立于TBK1-IRF3的一个新功能


研究人员通过基因敲除实验发现,DNA正是依赖cGAS和STING刺激细胞自噬的发生!在固有免疫中,STING 是诱导干扰素功能的关键,决定了干扰素的生成。研究人员将细胞的TANK结合激酶1(TBK1)敲除或对细胞使用TBK1抑制剂后,发现使用cGAMP不能激活干扰素调节因子3(IRF3),无法生成干扰素,但是仍然能够诱导LC3的酯化。同时,若STING固有免疫相关区域发生突变,IRF3也无法激活,而自噬依旧可以发生。这就表明cGAMP诱导的细胞自噬是独立于TBK1-IRF3的一个新功能。

 

STING转运至ERGIC诱发自噬发生


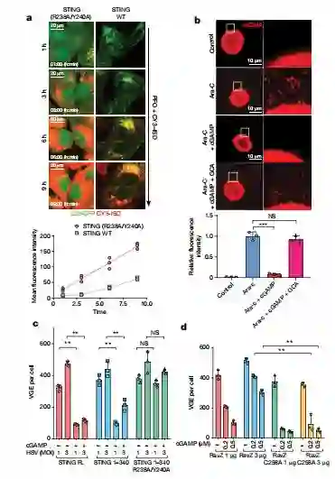
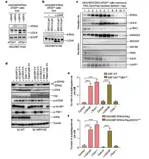
进一步研究发现,cGAS-STING通路的激活始于STING从内质网(ER)向内质网–高尔基体中间区( ERGIC),再到高尔基体(Golgi)的转运过程,使用ER-Golgi转运抑制剂可以同时抑制IRF3的激活和细胞自噬。这就说明STING的膜转运过程是激活其下游信号通路的重要步骤。

 

cGAMP诱导的自噬在抗病毒过程中起着关键作用


最后,研究人员进行了生化实验,发现在cGAMP诱导的LC3酯化反应中,ERGIC是主要的膜提供者,而且cGAMP诱导的细胞自噬由WIP2和ATG5而非经典的自噬相关基因调控,也就是说,cGAMP诱导的细胞自噬是与经典自噬途径有别的新功能。同时,活细胞成像结果也证明了cGAMP诱导的自噬在抗病毒过程中起着关键作用,这或许是未来相关药物研发的契机。

 

这是第一次系统、完整地揭示cGAS-STING通路在细胞自噬中的功能,并详细定义了该功能的特性,有助于研究人员进一步了解固有免疫和自噬的联系,对相关疾病的研究和治疗有重要意义。

 

参考文献:

Xiang Gui,et al.Autophagy induction via STING trafficking is a primordial function of the cGAS pathway.Nature (2019) .

 

推荐内容


登录查看更多
0

相关内容

【学科交叉】抗生素发现的深度学习方法
专知会员服务
25+阅读 · 2020年2月23日
Nature 一周论文导读 | 2019 年 8 月 1 日
科研圈
8+阅读 · 2019年8月11日
Nature 一周论文导读 | 2019 年 6 月 27 日
科研圈
8+阅读 · 2019年7月7日
Nature 一周论文导读 | 2019 年 5 月 30 日
科研圈
15+阅读 · 2019年6月9日
Nature 一周论文导读 | 2018 年 5 月 24 日
科研圈
11+阅读 · 2018年5月27日
Adversarial Metric Attack for Person Re-identification
Arxiv
3+阅读 · 2017年7月6日
VIP会员
相关VIP内容
相关资讯
Nature 一周论文导读 | 2019 年 8 月 1 日
科研圈
8+阅读 · 2019年8月11日
Nature 一周论文导读 | 2019 年 6 月 27 日
科研圈
8+阅读 · 2019年7月7日
Nature 一周论文导读 | 2019 年 5 月 30 日
科研圈
15+阅读 · 2019年6月9日
Nature 一周论文导读 | 2018 年 5 月 24 日
科研圈
11+阅读 · 2018年5月27日
Top
微信扫码咨询专知VIP会员