快歌慢歌,哪种歌更能缓解伤心情绪?

2019 年 5 月 9 日 果壳网

来源 | 脑人言(ID:ibrain-talk)

作者 | 曹安洁


拉赫玛尼诺夫不会知道,将近大半个世纪之后,他的音乐竟然还会变成一个使脑科学研究者困惑好奇的谜团。

钢琴家拉赫玛尼诺夫 | steinway.com


听歌这件事是大事。


无论是不是狂热的音乐爱好者,上没上过专业的音乐知识课,音乐都是我们生活中非常重要的一部分。我们总是喜欢挑选一些和意境相符、和心情搭配的音乐。去K歌的时候,抱着话筒嚎啕大唱伤感流行情歌的哥们,十有八九是最近经历了感情上的不顺。而在情绪稍稍低落的时候,我们也喜欢坐在靠窗的公交车上,听一些小文艺小忧伤的歌曲。最好此时此刻窗外再淅淅沥沥下点儿小雨,雨珠慢慢在车窗上滑落——自己绝对摇身一变mv主角。


可是伤心的时候听慢歌、伤心的歌真的能让我们心情变好起来吗?五月天有首歌叫“伤心的人别听慢歌”,仔细想想,似乎也有点道理。在我们意志消沉的时候,选择一些超燃、超热血的快歌,似乎能帮助我们更快地从情绪的低谷走出来。音乐不仅蕴含了创作者情绪的表达,也对我们每个人的情绪有着非常神奇而微妙的影响。那么音乐,到底是如何影响人们的情绪呢?


什么是情绪(Affect)?


在考量音乐与情绪的关系之前,我们很有必要更细致地探讨一下什么是情绪


情绪这种高度主观、难以量化的研究对象,几十年来困扰着一批又一批的科学家们。他们不断地提出新的模型对情绪进行分类,然后又不断发现这个模型中新的问题。目前一个比较经典的情绪模型是由James Russel 提出来的环形模型(circumplex model; Russel, 1980)

 

Russel 认为,我们所有的情绪是坐落在一个由情绪唤起(arousal)和情绪效价(valence)两条相互垂直的轴所圈定的二维空间的。



情绪四象限 | emotiondevelopmentlab.weebly.com


所谓情绪唤起,我们可以理解为某种情绪带来的反应的剧烈程度。我们都知道,在经历一些情绪的时候,我们会有激动得浑身发抖、心脏砰砰砰跳个不停等比较剧烈的生理反应。而这种比较剧烈的情绪,就对应着比较高的情绪唤起。


情绪效价呢,这个词虽然看起来比较陌生,其实用大白话说就是“爽还是不爽”。较高的情绪效价意味着它的愉悦程度较高。比方说,高兴、满足、放松等这些情绪,都会让我们觉得“真爽”。而当情绪效价呈负值的,我们感觉到的则是“不爽”:伤心、愤怒、沮丧等等。


举个例子,我们的愤怒情绪,就是高唤起、低效价的。在别人生气的时候,我们首先都劝对方“你先别激动”。而我们也都知道,生气的感觉是不愉悦的,所以我们在冷静下来之后,也会相应地感觉“好多了”。再举一个例子,放松就与愤怒在坐标系上呈斜对角。人在放松状态下整个人都会软绵绵的什么都不想干,但这种感觉并没有什么让人不爽的地方,反而很舒适。这就说明,放松这种情绪是低唤起、高效价的。


那么,音乐是如何影响情绪的呢?


2016年,一群西班牙的科学家们就进行了一组实验(Fernández-Sotos,  Fernández-Caballero & Latorre, 2016)。他们招募了63名年龄在19岁到29岁之间的被试人。在实验中,被试人需要给听到的音乐在四个维度上打分。这四个维度分别是张力(Tension),表现力(Expressiveness),趣味性(Amusement)和吸引力(Attractiveness)。接下来,被试人也会根据自己当前的心理状态,给自己体验到的三种基本情绪(basic emiotions)在0-8的尺度上打分。这三种基本情绪分别是快乐(happiness),惊讶(surprise)和悲伤(sadness)。


为了更深入地探究音乐中的哪个元素如何影响情绪,研究者们开展了两个实验。在第一个实验中,研究者们主要想调查音乐的速度(tempo)对情绪的影响。他们准备了一首曲子在90 bpm,120 bpm和150 bpm上的三个版本(注:bpm全称为beats per minute,是通用衡量音乐速度的单位)。科学家们发现,“悲伤”这一种基本情绪最受到速度的影响。当速度从90bpm上升到120bpm时,悲伤这一项的评分降低了37.7%。而当速度从120bpm上升到150bpm时,悲伤这一项的评分再次降低了39.9%。


不过,值得注意的是,单单这一项发现并不能说明“伤心的人别听慢歌”在同时进行的第二个实验当中,研究者们也发现速度并不是唯一一个影响情绪的因素,节奏单位(rhythmic units)在一定程度上也会对人们的情绪产生影响。所谓节奏单位,指的是每个音符的持续长度(duration),以及这些长度的音符如何组织成有规律的单位。在论文的最后,这些研究者们展现了一个表明情绪变化与节奏单位、速度这两个因素变化的规律。



W & H 代表 White note and Half note;Eighth 是八分音符, Sixteenth是十六分音符 | 参考资料[2]


老师,这结论科学吗?


这篇论文总结出来的规律真的可靠有效吗?


相信我不是唯一一个对它的量表产生怀疑的人。比如说,这四个维度是怎样选取的呢?研究人员有没有对被试受音乐训练的背景进行控制呢?性别因素呢?而且,研究者在记述的两个实验中选取了两个不同的曲子,会不会这曲子本身就有不同的“情绪标签”呢?


虽然研究方法存在一点小小的争议,不可否认的是,近些年来,越来越多的研究采用各种各样方法的实验,都在试图揭晓音乐和情绪之间的联系。


早在2001年的时候,研究者们就发现听到好听音乐时头皮发麻的“飞一般”的感受,就会激活我们大脑中和奖励与情绪有关的区域,例如腹侧纹状体(ventral striatum),中脑(midbrain)),杏仁核(amygdala)等。这些区域,在其它如食物、性等诱导愉悦的刺激(euphoria-inducing stimuli)下,也会出现相似的活动。这个发现就说明,当我们听到美妙音乐时所感受到的喜悦感,是有着很深的生物学基础的(Blood & Zatorre, 2001)。


有趣的是,我们大脑的左右半球对音乐中的情绪处理也会出现偏侧化(lateralization)的现象。所谓偏侧化就是指左右半脑在一些任务中呈现不同的激活。比方说,有科研人员发现,我们的左半脑会对表达喜悦的、速度较快、大调(major mode)的音乐产生更多的活跃,而表达恐惧与悲伤的音乐,速度较慢、小调(minor mode)的音乐则会使右半脑更活跃(Schmidt and Trainor, 2001; Tsang et al., 2001)。


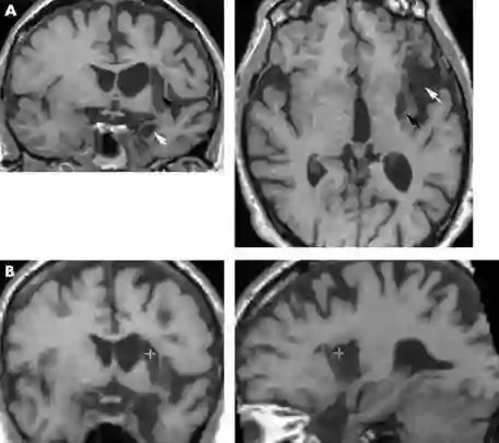
不仅如此,来自脑损伤病人的报告也向我们揭示了一些音乐与情绪之间的关系。2001年就报告了一名中风患者的案例。他是一位52岁的电台主持人,在中风前他特别喜欢听拉赫玛尼诺夫的序曲,而且每次听他都会产生一种“intense, altered emotional state or transformation”(剧烈的,情绪状态发生改变,飞升一样的体会)。他还说,只有拉赫玛尼诺夫的这一首序曲能让他有这样的感觉,其它的音乐都不行。然而在中风之后,尽管经历了漫长的康复期,这位患者的各项认知功能的受损情况都得到了缓解。测试也表明,他对音乐的知觉能力与正常人无异,可以听出音乐的韵律、节奏、具体结构等等。然而他却表示,那种“听到拉赫玛尼诺夫才有”的感觉消失得无影无踪了(Griffiths et al, 2010)。

 

科学家们猜测,也许是他大脑梗塞影响到了左脑岛(left insula,黑色箭头所示)和杏仁核(amygdala,白色箭头所示),导致了他不能再从拉赫玛尼诺夫的序曲中获得飞升般的快感。


脑部影像图 | 参考资料[3]


伤心的时候到底该听什么歌?


说了这么多,说回我们的话题,伤心的时候究竟应该听什么歌合适呢?


一边是“伤心的时候别听慢歌动次打次动次打次让我们嗨起来”,一边又是“啊啊给我一杯忘情水〜换我一夜不流泪〜”,经验里,似乎两种都能对我们的消极情绪起到引导作用。前者给我们加油鼓气,而后者则排忧解难,宣泄情绪。而且也有研究者发现,其实忧伤的音乐确实可以诱发积极情绪(pleasant emotion)。


学术界对于音乐和情绪的研究,因为受到各种实际因素限制,一直没有办法得到很好的结论。Gunter Kreutz 和Martin Lotze 在《Neurosciences in Music Pedagogy》这本书里的一个章节中就对目前该领域科研面临的挑战进行了讨论。比方说,如果想研究一个钢琴演奏者在演奏一首钢琴曲时的情绪和工作脑回路,不仅要考量视觉系统(visual system)——演奏者要看琴键或者观众,运动系统(motor system)——手指、手臂要灵活移动,听觉系统(auditory system)——要听曲子演奏的效果, 还有记忆、注意力等等。这些不同的脑区回路间还会互相交叉作用,即使我们有办法把一个正在弹钢琴的钢琴家塞进核磁共振的机器里扫他们的脑子,那些活动的图像能告诉我们的信息也十分有限。


伤心的时候究竟应该听什么歌?最准确的答案,也许就是你想听什么歌就听什么歌。可以说,音乐几乎是我们本能的一部分,是陪伴我们一生不离不弃的好伙伴。“应该听什么歌”这种问题,也许是为数不多,我们自己比科学更知道答案的问题。下次伤心的时候,就听你最爱听的歌,快点让心情好起来吧〜


编辑:周晴


参考文献


[1] Blood, A. J., & Zatorre, R. J. (2001). Intensely pleasurable responses to music correlate with   activity in brain regions implicated in reward and emotion. Proceedings of the National   Academy of Sciences, 98(20), 11818-11823.

[2] Fernández-Sotos, A., Fernández-Caballero, A., & Latorre, J. M. (2016). Influence of tempo and rhythmic unit in musical emotion regulation. Frontiers in computational neuroscience, 10, 80.

[3] Griffiths, T. D., Warren, J. D., Dean, J. L., & Howard, D. (2004). “When the feeling’s gone”: a selective loss of musical emotion. Journal of Neurology, Neurosurgery & Psychiatry, 75(2), 344-345.

[4] Kawakami, A., Furukawa, K., Katahira, K., & Okanoya, K. (2013). Sad music induces pleasant   emotion. Frontiers in psychology, 4, 311.

[5] Kreutz, G., & Lotze, M. (2007). Neuroscience of music and emotion. Neurosciences in Music   Pedagogy. New York: Nova Science, 143-167.

[6] Russell, J. A. (1980). A circumplex model of affect. Journal of personality and social psychology,  39(6), 1161.

[7] Schmidt, L. A., & Trainor, L. J. (2001). Frontal brain electrical activity (EEG) distinguishes   valence and intensity of musical emotions. Cognition & Emotion, 15(4), 487-500.

[8] Tsang, C. D., Trainor, L. J., Santesso, D. L., Tasker, S. L., & Schmidt, L. A. (2001). Frontal EEG   responses as a function of affective musical features. Annals of the New York Academy of   Sciences, 930(1), 439-442.




果壳

ID:Guokr42

整天不知道在科普些啥玩意儿的果壳

我觉得你应该关注一下

登录查看更多
0

相关内容

音乐,广义而言,指精心组织声音,并将其排布在时间和空间上的艺术类型。
【KDD2020】多源深度域自适应的时序传感数据
专知会员服务
62+阅读 · 2020年5月25日
【新加坡国立大学】深度学习时代数据库:挑战与机会
专知会员服务
35+阅读 · 2020年3月6日
清华大学两名博士生被开除:你不吃学习的苦,就要吃生活的苦
机器学习算法与Python学习
25+阅读 · 2019年9月16日
何晖光:多模态情绪识别及跨被试迁移学习
深度学习大讲堂
58+阅读 · 2019年4月23日
AI情绪识别技术背后:一场悄然来袭的“暴政”
大数据文摘
7+阅读 · 2018年10月11日
VIP会员
相关资讯
清华大学两名博士生被开除:你不吃学习的苦,就要吃生活的苦
机器学习算法与Python学习
25+阅读 · 2019年9月16日
何晖光:多模态情绪识别及跨被试迁移学习
深度学习大讲堂
58+阅读 · 2019年4月23日
AI情绪识别技术背后:一场悄然来袭的“暴政”
大数据文摘
7+阅读 · 2018年10月11日
Top
微信扫码咨询专知VIP会员