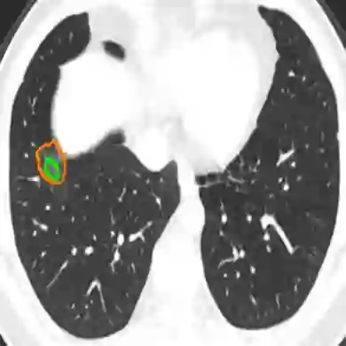
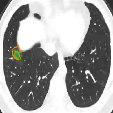
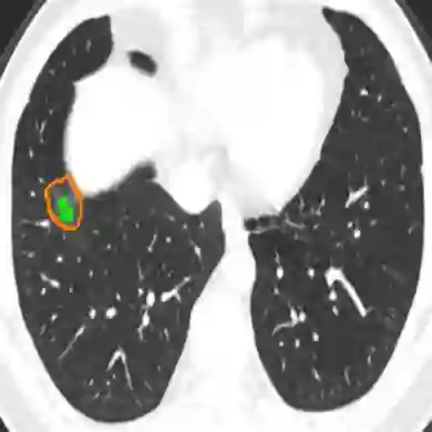
The novel coronavirus disease 2019 (COVID-19) characterized by atypical pneumonia has caused millions of deaths worldwide. Automatically segmenting lesions from chest Computed Tomography (CT) is a promising way to assist doctors in COVID-19 screening, treatment planning, and follow-up monitoring. However, voxel-wise annotations are extremely expert-demanding and scarce, especially when it comes to novel diseases, while an abundance of unlabeled data could be available. To tackle the challenge of limited annotations, in this paper, we propose an uncertainty-guided dual-consistency learning network (UDC-Net) for semi-supervised COVID-19 lesion segmentation from CT images. Specifically, we present a dual-consistency learning scheme that simultaneously imposes image transformation equivalence and feature perturbation invariance to effectively harness the knowledge from unlabeled data. We then quantify both the epistemic uncertainty and the aleatoric uncertainty and employ them together to guide the consistency regularization for more reliable unsupervised learning. Extensive experiments showed that our proposed UDC-Net improves the fully supervised method by 6.3% in Dice and outperforms other competitive semi-supervised approaches by significant margins, demonstrating high potential in real-world clinical practice.


翻译:以非典型肺炎为特征的新型冠状病毒病(COVID-19)2019年(COVID-19)在全世界造成了数百万人死亡。胸部成形成形成形(CT)的自动分割损伤是协助医生进行COVID-19筛查、治疗规划和后续监测的一个很有希望的方法。然而,恶性说明极具专家需求,而且非常稀少,特别是在新出现疾病方面,同时可以提供大量未加标签的数据。为了应对有限说明的挑战,我们在本文件中提议建立一个由不确定性引导的双一致性学习网络(UDC-Net),用于半监督的COVID-19断裂式成像。具体地说,我们提出了一个双一致性学习计划,同时要求图像转换等同,并具有易变性特征,以便有效地利用未加标签的数据知识。我们随后量化了缩略论不确定性和液态不确定性,并一起指导一致性规范,以便更可靠、不统一地学习。广泛的实验表明,我们提议的UDC-Net改进了以其他具有竞争力的、6.3 % 和D 中具有充分监督的高度竞争力的临床模型模型方法,通过其他6.3 D 3 3 3 3 3D 3 3 3 3 3 3 310 3 310 3 3 3 3 3 3 310 310 3 310 310 3 310 310 3 3 3 3 3 3 3 3 3 3 3 3 3 3 310 310 310 310 310 310 3 3 3 3 3 3 3 3 3 3 3 3 3 3 3 3 3 3 3 3 3 3 3 3 3 3 3 3 3 3 3 3 3 3 3 3 3 3 3 3 3 3 3 3 3 3 3 3 3 3 3 3 3 3 3 3 3 3 3 3 3 3 3 3 3 3 3 3 3 3 3 3 3 3 3 3 3 3

0
下载
关闭预览

相关内容

100+篇《自监督学习(Self-Supervised Learning)》论文最新合集
专知会员服务
167+阅读 · 2020年3月18日
强化学习的Unsupervised Meta-Learning
CreateAMind
18+阅读 · 2019年1月7日
Unsupervised Learning via Meta-Learning
CreateAMind
44+阅读 · 2019年1月3日
《pyramid Attention Network for Semantic Segmentation》
统计学习与视觉计算组
44+阅读 · 2018年8月30日
VIP会员
Top
微信扫码咨询专知VIP会员